龋齿图片,
的有关信息介绍如下:龋齿俗称虫牙、蛀牙,是细菌性疾病,因此它可以继发牙髓炎和根尖周炎,甚至能引起牙槽骨和颌骨炎症。如不及时治疗,病变继续发展,形成龋洞,终至牙冠完全破坏消失。未经治疗的龋洞是不会自行愈合的,其发展的最终结果是牙齿丧失。
若确定龋坏部位有困难,可拍摄X线牙片,龋坏处可见黑色阴影。有条件者可用光纤维透照、电阻抗、超声波、弹性模具分离、染色等技术,以提高龋病早期诊断的准确性和灵敏性。

临床表现
1.浅龋
亦称釉质龋,龋坏局限于釉质。初期于平滑面表现为脱矿所致的白垩色斑块,以后因着色而呈黄褐色,窝沟处则呈浸墨状弥散,一般无明显龋洞,仅探诊时有粗糙感,后期可出现局限于釉质的浅洞,无自觉症状,探诊也无反应。

2.中龋
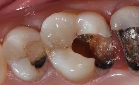
龋坏已达牙本质浅层,临床检查有明显龋洞,可有探痛,对外界刺激(如冷、热、甜、酸和食物嵌入等)可出现疼痛反应,当刺激源去除后疼痛立即消失,无自发性痛。
3.深龋
龋坏已达牙本质深层,一般表现为大而深的龋洞,或入口小而深层有较为广泛的破坏,对外界刺激反应较中龋为重,但刺激源去除后,仍可立即止痛,无自发性痛。

4.龋坏
在X线片上呈黑色透射区,对难以确诊者(如邻面龋),可借助X线片协助诊断。



